Operação da PM fecha o cerco em toda Manaus após episódio da Compensa
Dando continuidade às operações realizadas ao longo de 2023, a Polícia Militar do Amazonas (PMAM) deu início, na tarde desta...
Saiba MaisDando continuidade às operações realizadas ao longo de 2023, a Polícia Militar do Amazonas (PMAM) deu início, na tarde desta...
Saiba MaisEm tempos de redes sociais e de câmeras acessíveis presentes em celulares, nada foge da internet. Prova disso é que...
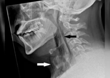
Saiba MaisUm paciente que não teve seu nome divulgado, teve sua traqueia rompida após tentar segurar seus espirros, pressionando o nariz...
Saiba MaisO parlamentar federal Amom Mandel (Cidadania/AM) decidiu retirar sua candidatura nas eleições municipais de 2024. Até o momento, ele não...
Saiba MaisO secretário de Segurança Pública do Amazonas, Vinícius Almeida, disse nesta sexta-feira (29) que bandido que tentar PM vai morrer....
Saiba MaisNessa quinta-feira (28), foi sancionada mais uma lei federal de autoria do deputado federal Capitão Alberto Neto. A Lei n.14.788/23...
Saiba MaisCom forte atuação no combate ao crime organizado, a Polícia Civil do Amazonas (PC-AM) apreendeu mais de 12 toneladas de...
Saiba MaisDefinitivamente o fim de ano não está fácil para os manauaras. No dia 23, uma mulher e um idoso foram...
Saiba MaisNovos detalhas revelados pela polícia mostram como a esposa que cortou o pênis do marido decidiu cometer o crime. Ela...
Saiba MaisAdriom de Souza Monteiro, 22, Jadson mesquita dos Santos, 20 e Klaive Araújo de Souza, 19, tiveram nomes e fotos...
Saiba Mais